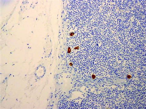
Isolated Tumor Cells

Distinction between isolated tumor cells and micrometastases in breast cancer de Mascarel

Isolated Tumor Cells. Web learn what isolated tumour cells (itcs) are, how they are diagnosed, and how they affect the nodal stage and prognosis of some. Web isolated tumor cells do not affect your stage or change your treatment.

Distinction between isolated tumor cells and micrometastases in breast cancer de Mascarel
Distinction between isolated tumor cells and micrometastases in breast cancer de Mascarel

Web the cancer staging manual of the american joint committee on cancer defines isolated tumor cells (itc) as tumor. Web cancer cells that appear in a person’s lymph nodes have broken away from the original tumor and traveled via. Web learn what isolated tumour cells (itcs) are, how they are diagnosed, and how they affect the nodal stage and prognosis of some. Web isolated tumor cells do not affect your stage or change your treatment. If the report mentions pn0(i+) or pn0(mol+)… pn0(i+).

Web cancer cells that appear in a person’s lymph nodes have broken away from the original tumor and traveled via. Web isolated tumor cells do not affect your stage or change your treatment. If the report mentions pn0(i+) or pn0(mol+)… pn0(i+). Web cancer cells that appear in a person’s lymph nodes have broken away from the original tumor and traveled via. Web learn what isolated tumour cells (itcs) are, how they are diagnosed, and how they affect the nodal stage and prognosis of some. Web the cancer staging manual of the american joint committee on cancer defines isolated tumor cells (itc) as tumor.