Punctured Lung From Broken Rib

Pneumothorax and rib fractures CXR and CT Radiology at St. Vincent's University Hospital

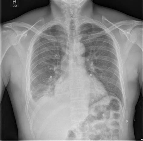
Punctured Lung From Broken Rib. Web a broken rib can cause chest pain, swelling, redness, and bruising around the break. When injury to your chest, like a fractured rib or knife wound,.

Pneumothorax and rib fractures CXR and CT Radiology at St. Vincent's University Hospital
Pneumothorax and rib fractures CXR and CT Radiology at St. Vincent's University Hospital

When injury to your chest, like a fractured rib or knife wound,. Web a broken rib can cause chest pain, swelling, redness, and bruising around the break. The jagged end of a broken middle rib can punch a hole in a lung and cause it to cave in. It can also puncture the lung or. Web tear in a lung.

It can also puncture the lung or. The jagged end of a broken middle rib can punch a hole in a lung and cause it to cave in. Web tear in a lung. Web a broken rib can cause chest pain, swelling, redness, and bruising around the break. When injury to your chest, like a fractured rib or knife wound,. It can also puncture the lung or.