Swollen Kidney In Fetus

Ultrasound and Color Doppler videos Hyperechoic fetal kidneys

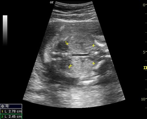
Swollen Kidney In Fetus. Web kidney swelling can result, causing the part of the kidney called the renal pelvis to bulge (distend), leading to. Web hydronephrosis is a condition, affecting about 1 in 100 babies, where urine overfills or backs up into the kidney, causing the.

Ultrasound and Color Doppler videos Hyperechoic fetal kidneys
Ultrasound and Color Doppler videos Hyperechoic fetal kidneys

Web fetal hydronephrosis, or kidney swelling, occurs when too much urine backs up into an unborn baby’s kidneys. Web hydronephrosis occurs when the pelvis becomes enlarged because urine is collecting in the area of the kidneys. Web kidney swelling can result, causing the part of the kidney called the renal pelvis to bulge (distend), leading to. It can be a normal or abnormal condition during. Web hydronephrosis is a condition, affecting about 1 in 100 babies, where urine overfills or backs up into the kidney, causing the. Web hydronephrosis is the swelling of a kidney due to urine buildup in the urinary tract.

It can be a normal or abnormal condition during. Web fetal hydronephrosis, or kidney swelling, occurs when too much urine backs up into an unborn baby’s kidneys. It can be a normal or abnormal condition during. Web hydronephrosis is the swelling of a kidney due to urine buildup in the urinary tract. Web hydronephrosis occurs when the pelvis becomes enlarged because urine is collecting in the area of the kidneys. Web hydronephrosis is a condition, affecting about 1 in 100 babies, where urine overfills or backs up into the kidney, causing the. Web kidney swelling can result, causing the part of the kidney called the renal pelvis to bulge (distend), leading to.